在伦敦带娃,牙齿问题真的绕不开。不管是担心换牙期牙齿长得乱,还是纠结要不要趁发育期早点矫正,家长们心里多少都有点焦虑。
新春将至,这正是给娃开启口腔守护、解锁隐适美矫正的绝佳时机!我们不仅带来了隐适美全年最大力度新年折扣,更有Dr Cohen 主导牙齿矫正方案,精准把握孩子牙齿发育节奏;还有专注 6-16 岁儿童常规牙齿治疗的 Dr. Mario坐诊,专业处理各类儿童牙科问题,联手守护孩子口腔健康。

Dentexcel中国新年限时特惠
Dentexcel 新春献礼,BISP 群友专享隐适美限时折扣,全年最低价来袭!
孩子牙齿矫正,最高直降 £2105,比日常价整整省 £300!预约即免 £95 咨询费 + 小 X 光检查费,面诊 0 成本;中度矫正赠送牙齿美白+洗牙+一副基础保持器,重度矫正赠送牙齿美白+洗牙+三副隐适美牙齿保持器!
矫正选对医生才放心!我们有隐适美黑钻级别认证医生 Dr. Cohen,跻身欧洲 TOP1% 正畸专家,深耕青少年正畸多年,精准把握孩子牙齿发育特点,1v1 定制专属矫正方案,专业与效果双重保障。
想了解更多优惠详情,扫描下方二维码添加专属客服 Wechat(微信号 dentexcel23)咨询。

为什么新年是娃做隐适美矫正的好时机?
宝妈们最关心的就是“不耽误孩子学习”,这一点我们早就替大家考虑到了!
新年前后恰逢英国half term放假,孩子时间充裕,不用赶在上学日请假复诊,既能从容配合每一次诊疗,也不会耽误功课,复诊节奏更轻松,孩子接受度也更高。
而且青少年阶段(尤其是12-16岁),孩子恒牙基本萌出,颌骨还处于发育阶段,此时做隐适美矫正,不仅矫正周期更短、效果更稳定,还能引导颌骨正常发育,避免牙齿不齐影响颜值和咬合,趁新年开启矫正,开学就能悄悄变美,让孩子笑起来更自信!

Dr Mario:6-16岁儿童青少年口腔专属医生
给娃看牙,真的是伦敦宝妈一大难题——孩子怕疼、抗拒看牙、坐不住,医生不懂孩子情绪,沟通难还耽误治疗。
6–16岁正是换牙、恒牙萌出、口腔发育的关键期,乳牙问题、蛀牙、萌出异常、日常护理…每一步都不能马虎。
Dr Mario专注6–16岁儿童青少年口腔多年,临床经验足,更懂这个年龄段孩子的心理与发育规律。擅长:乳牙护理、蛀牙治疗、拔乳牙、涂氟、恒牙萌出监测、常规口腔诊疗与预防,特别了解孩子口腔特点与家长的担心。温柔耐心、会安抚、沟通顺畅,孩子不抗拒,家长才真省心。

Dr Cohen:隐适美资深专家,更懂亚洲审美
给孩子做矫正,效果和审美同样重要!Cohen医生拥有多年隐适美矫正经验,更是隐适美黑钻级别认证医生,经手无数华人青少年矫正案例。
不同于欧美医生的审美,Cohen医生精研亚洲人面型与微笑比例,不会做千篇一律的“标准牙”,而是结合每个孩子的面型、五官,量身定制隐适美矫正方案,兼顾牙齿整齐与自然笑容,让孩子整完牙,笑容更灵动、更贴合自身气质。

家长们最关心的几个问题,一次说清!
❓ 孩子不同年龄段,都能做隐适美吗?有没有年龄限制?
答:没有绝对的年龄限制,核心看孩子口腔发育情况!6-10岁的孩子,可由Dr Cohen做隐适美早期干预,重点是为恒牙萌出预留充足空间,避免后期出现牙齿拥挤、颌骨发育异常的问题;11-16岁是正畸黄金期,恒牙基本萌出,颌骨还在发育,此时做隐适美,牙齿移动更快、矫正周期更短,效果也更稳定,具体可面诊评估。
❓ 孩子上学忙,加上自控力一般,担心没法坚持戴隐适美怎么办?
答:这一点完全不用愁!青少年款隐适美就是为在校孩子量身打造的,透明隐形不显眼,上课、和同学相处完全不尴尬,孩子不会有心理负担;而且摘戴特别方便,吃饭、运动时摘下,清洁完再戴上,不耽误孩子正常作息和活动。比起传统金属牙套,孩子接受度更高,坚持佩戴也更轻松。
❓ 华人家庭沟通不方便怎么办?
答:全程配备免费中文翻译,从面诊、方案设计到复诊,和医生沟通零障碍,孩子的矫正进度、注意事项,都会及时同步,让家长们全程放心。
❓ 新年折扣怎么锁定?half term复诊能灵活安排吗?
本次隐适美新年折扣,只要在活动时间内,微信私信预约面诊,就能直接锁定全年最低价;half term放假期间,我们会完全配合孩子的放假时间,灵活调整复诊时段,不用赶时间、不耽误孩子游玩,让复诊变得轻松又高效。
新的一年,愿每个孩子都能拥有健康整齐的牙齿,笑起来自信满满!趁新年折扣、half term放假便利,还有Dr Mario和Cohen医生的双重守护,给娃安排一份专属的口腔健康礼物吧~
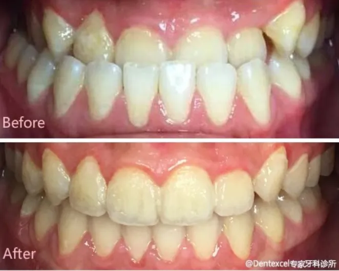
案例分享
# 案例分享 隐适美8个月改善反颌拥挤#

# 案例分享 隐适美改善重度交错咬合、牙齿拥挤和深覆合#




#案例分享 隐适美矫正前后轮廓变化#


英文网站:www.dentexcel.co.uk
中文网站:www.dentexcel.london
电话:020 7796 9393
预约微信:dentexcel8
